Alleujar. Respirar. Recuperar.
Centre Cospedia | Patrícia Diez, podòloga a Badalona
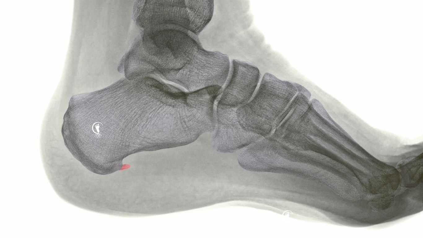
Esperó calcani a Badalona
L’esperó calcani sovint s’associa al dolor al taló, però no sempre és el veritable responsable. A Cospedia entenem aquest tipus de dolor des d’una mirada global per saber què hi ha darrere i ajudar-te a recuperar el moviment amb menys càrrega i més equilibri.
Què és l’esperó calcani?
Al Centre Cospedia de Badalona, abordem l’esperó calcani a Badalona des d’una mirada global i personalitzada. L’esperó calcani és una calcificació que apareix a l’os del taló com a resposta a tensions repetides en el temps, especialment de la fàscia plantar.
Tot i això, no sempre és l’esperó el que provoca el dolor. Moltes persones tenen un esperó calcani sense molèsties, mentre que d’altres presenten dolor sense que hi hagi cap calcificació visible.
Per què pot aparèixer
En molts casos, l’esperó és la conseqüència d’una sobrecàrrega mantinguda, no la causa principal del dolor.
- Tensió repetida de la fàscia plantar
- Alteracions en la manera de caminar
- Limitacions de mobilitat
- Canvis en el calçat
- Desequilibris en la postura global
No sempre el dolor ve de l’os
El dolor al taló sovint està relacionat amb les estructures que envolten l’esperó, no amb l’os en si.
En alguns casos pot estar associat a una fascitis plantar, a la irritació del coixí gras plantar o a tensions musculars que generen sobrecàrrega a la zona.
Per això és important no quedar-se només amb la imatge radiològica, sinó entendre què està passant a nivell funcional.
Com treballem al Centre Cospedia
A cada visita no ens centrem només en el taló. Analitzem com es mou el teu cos, com es distribueixen les càrregues i com respon el peu en diferents situacions.
Observem el cos en repòs, en estàtica i en moviment per detectar possibles desequilibris que puguin estar mantenint la tensió al taló.Per això, una bona valoració biomecànica ens ajuda a entendre què està mantenint la sobrecàrrega i com podem actuar sobre l’origen.
Què podem oferir
- Exercicis específics per millorar la mobilitat i la força
- Treball de footcore
- Educació del moviment
- Assessorament en el calçat
- Adaptació de la càrrega
- Suports plantars funcionals si són necessaris
L’objectiu no és eliminar l’esperó, sinó reduir la tensió que el genera i millorar la manera com el cos gestiona la càrrega.
Valoració d’esperó calcani a Badalona
La valoració la realitza Patrícia Diez, podòloga del Centre Cospedia, analitzant cada cas de manera individual per entendre l’origen del dolor i definir el tractament més adequat.
Benefici
Una valoració d’esperó calcani a Badalona per entendre si el dolor prové realment de l’esperó o d’altres estructures, reduir la sobrecàrrega i millorar el moviment.
Si tens dolor al taló, al Centre Cospedia de Badalona t’ajudem a entendre què està passant i a trobar una solució adaptada a tu.
Si tens qualsevol molèstia o vols informació sobre altres tractaments,
contacta amb nosaltres
i t’assessorarem encantades.
Preguntes freqüents sobre ungla encarnada
L’esperó calcani és el que em provoca el dolor?
No sempre. Moltes vegades el dolor està relacionat amb la fàscia plantar o altres estructures, no amb l’os en si.
Si tinc un esperó, desapareixerà?
L’esperó és una adaptació de l’os i no sempre desapareix. L’objectiu és reduir el dolor i la sobrecàrrega.
Necessito plantilles?
No en tots els casos. Depèn de l’origen del problema i de com es mou el teu cos.
És el mateix que la fascitis plantar?
No. Sovint estan relacionats, però no són el mateix. Poden coexistir o aparèixer per separat.
El calçat pot influir?
Sí, i molt. Un calçat massa rígid, massa tou o que no s’adapta al teu peu pot augmentar la càrrega a la fàscia plantar. Per això, sovint revisem el calçat com a part del tractament.
És normal que el dolor vagi i vingui?
Sí. És habitual que el dolor millori uns dies i torni si es manté la causa que el provoca. Per això és important no quedar-se només amb l’alleujament puntual.
Contacte
Truca’ns
667 303 119
Horaris
Dilluns a Divendres de 9 a 20h
Direcció
Carrer de Joan Peiró, 62, 08911 Badalona
